This is an online E log book to discuss our patient's de-identified health data shared after taking his/her/guardian's signed informed consent. Here we discuss our individual patient's problems through series of inputs from available global online community of experts with an aim to solve those patient's clinical problems with collective current best evidence based inputs. This E log book also reflects my patient-centered online learning portfolio and your valuable inputs on the comment box.

Short case
Prashanth Reddy Anugu
Hall ticket: 1701006141

A 30 year old female patient, who is a housewife and resident of Nalgonda came to OPD with chief complaints of 

Facial puffiness for 4 days 
 Pedal edema for 4 days
Shortness of Breath for  2 days
Abdominal pain for 2 days

History of presenting illness :

Patient was apparently asymptomatic 7 months back. Then she developed facial puffiness  (which was insidious in onset, gradual in progression and was observed on waking up in the morning) and  Bilateral leg swelling (which was of grade II) .For this the patient consulted the Physician, who after investigating put the patient on certain medications and both the complaints got better. 
Now four days back ,she again developed pedal edema of both legs and facial puffiness. Two days ago ,patient developed shortness of breath which was insidious in onset , gradually progressed to grade 4 and was not affected with change in position ,without any aggravating or  relieving factors . She also developed abdominal pain 2 days back which was diffuse over the abdomen .

Past history 
She is a known case of hypertension for 12 years for which she is on Telmisartan 40 mg

Personal history :
Diet - mixed 
Appetite - Decreased
Sleep  - Inadequate 
Bladder - Decreased urine output
Bowel movements - normal 
No addictions.
 
Family history:
Patient's mother has hypertension.

GENERAL EXAMINATION:
Patient was examined in a supine position in a well lit room after obtaining consent  in the presence of a female attendant 

Patient was conscious, coherent and cooperative and oriented to time , place and person

Pallor - present 
Icterus -  absent 
Cyanosis - absent 
Clubbing - absent 
Lymphadenopathy - absent 
Edema of both the lower limbs below knee

Vitals:
 Temperature - Afebrile
 Pulse - 110 bpm
 Blood pressure -  150/90mmHg 
 Respiratory rate - 36 cpm

SYSTEMIC EXAMINATION:

ABDOMINAL EXAMINATION

INSPECTION :
Shape  - Distended 
Umbilicus - normal 
Movements - normal
Visible pulsations - absent 
Surface of the abdomen - normal 

PALPATION :
Liver - Not palpable 
Spleen -Not palpable
No fluid thrill
No shifting dullness

AUSCULTATION - Bowel sounds are heard .


RESPIRATORY SYSTEM EXAMINATION

INSPECTION
Oral cavity- Normal
Nose- normal 
Pharynx-normal 

Respiratory movements equal on both the sides
Bilaterally symmetrical chest
Trachea - central in position 
No scars and sinuses
No engorged veins
No hallowing or flattening of supraclavicular /infraclavicular spaces
Apex impulse visible in 5th intercostal space

PALPATION
No local rise  of temperature 
No tenderness
All inspiratory findings are confirmed
Trachea - central in position
Apical beat felt in the left 5th Intercoastal space medial to the mid clavicular line
Respiratory movements equal in both the hemithorax
Tactile  vocal fremitus - reduced on both sides  in infra axillary and infra scapular region

PERCUSSION- Dull on both the sides

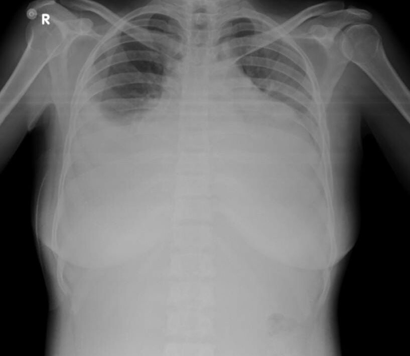
AUSCULTATION -  Decreased respiratory sounds on both the sides.


CARDIOVASCULAR SYSTEM EXAMINATION
S1, S2 - heart sounds are heard 
No audible murmers

NERVOUS SYSTEM EXAMINATION
Motor and sensory systems are intact

PROVISIONAL DIAGNOSIS:
Acute exacerbation of Chronic kidney disease

Comments

Popular posts from this blog

30 year old male with loose stools and vomitings

MEDICINE ASSIGNMENT By Prashanth Reddy Anugu( Roll no 107)

50 year opd female with weakness from 1 year